Com mais de 30 anos de experiência e tecnologia de planejamento digital, a Clínica Inova Odontologia une ciência e estética para devolver sua função mastigatória e autoestima com precisão absoluta.
Especialistas prontos para transformar sua autoestima com segurança e precisão.
Ampla bagagem clínica para garantir a segurança que o seu sorriso exige.
Mais do que pacientes, uma história de confiança e saúde bucal.
Formando gerações de dentistas com excelência e referência em implantodontia.
Precisão absoluta com scanners 3D para resultados naturais e previsíveis.
A Clínica Inova Odontologia é liderada pelos doutores Evaldo e Danielle Hasselmann, profissionais que somam anos de experiência dedicada à saúde bucal. Aqui, aliamos o rigor acadêmico da docência com as tecnologias mais modernas do mercado.
Nosso foco é oferecer um atendimento resolutivo e humanizado. Enquanto o Dr. Evaldo traz a segurança de anos de prática cirúrgica e ensino universitário, a Dra. Danielle aplica sua expertise de duas décadas em estética para planejar sorrisos harmônicos e funcionais.
Da prevenção à estética: excelência clínica em cada detalhe do seu tratamento.
Recupere sua mastigação e confiança com implantes e protocolos de reconstrução óssea.
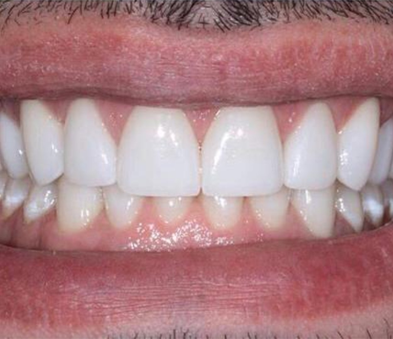
Transforme seu sorriso com facetas e lentes de contato ultra finas. Planejamento digital exclusivo.
Remova seus sisos com total conforto. Utilizamos sedação assistida por médico anestesista.
Ortodontia moderna com aparelhos fixos ou alinhadores invisíveis para um sorriso alinhado de forma discreta e eficiente.
Correção do sorriso gengival e reconstruções para harmonia total entre dentes e gengiva, utilizando técnicas cirúrgicas avançadas.
Procedimentos precisos e ágeis para salvar o seu dente natural, realizados com o cuidado e a tecnologia.
Profilaxia (limpeza) e check-ups preventivos para manter sua saúde bucal.
Devolva a função e a beleza ao seu sorriso com próteses modernas e restaurações que devolvem a estrutura e naturalidade.






Com 20 anos de atuação dedicada à odontologia estética e restauradora, a Dra. Danielle Hasselmann é a responsável por unir saúde e harmonia em cada sorriso planejado na Inova.
Seu trabalho é pautado pelo relacionamento interpessoal e pela busca de soluções que respeitem a individualidade de cada paciente.
Especialista em transformar desejos em realidade, ela utiliza tecnologias de planejamento digital para garantir que cada faceta ou lente de contato seja perfeitamente integrada à face, devolvendo não apenas a estética, mas a autoestima e a função mastigatória de seus pacientes.
Com uma trajetória de 33 anos de formação e mais de três décadas dedicadas exclusivamente à área cirúrgica, o Dr. Evaldo Hasselmann é uma referência na região em reabilitação oral.
Além da atuação clínica, sua carreira é marcada pela docência há 29 anos, sendo professor de faculdade e de cursos de especialização, onde forma novas gerações de cirurgiões.
Membro da International Team of Implantology (ITI), o Dr. Evaldo une o rigor científico à prática clínica avançada para resolver casos complexos, como reconstruções ósseas e implantes zigomáticos.
Seu foco é oferecer resolutividade e segurança, garantindo que mesmo os procedimentos mais delicados sejam realizados com precisão absoluta e conforto para o paciente.
Sinta-se seguro com um atendimento planejado por especialistas que priorizam a sua saúde e o seu conforto.

Patient
Ex maecenas orci potenti faucibus justo vitae dui suspendisse. Leo eleifend netus id; pulvinar phasellus dis. Consequat aliquet euismod eleifend venenatis lacus sollicitudin. Torquent purus efficitur eros turpis, neque proin. Praesent sem lacinia facilisi odio arcu ligula nunc, libero dui.

Patient
Ex maecenas orci potenti faucibus justo vitae dui suspendisse. Leo eleifend netus id; pulvinar phasellus dis. Consequat aliquet euismod eleifend venenatis lacus sollicitudin. Torquent purus efficitur eros turpis, neque proin. Praesent sem lacinia facilisi odio arcu ligula nunc, libero dui.

Patient
Ex maecenas orci potenti faucibus justo vitae dui suspendisse. Leo eleifend netus id; pulvinar phasellus dis. Consequat aliquet euismod eleifend venenatis lacus sollicitudin. Torquent purus efficitur eros turpis, neque proin. Praesent sem lacinia facilisi odio arcu ligula nunc, libero dui.